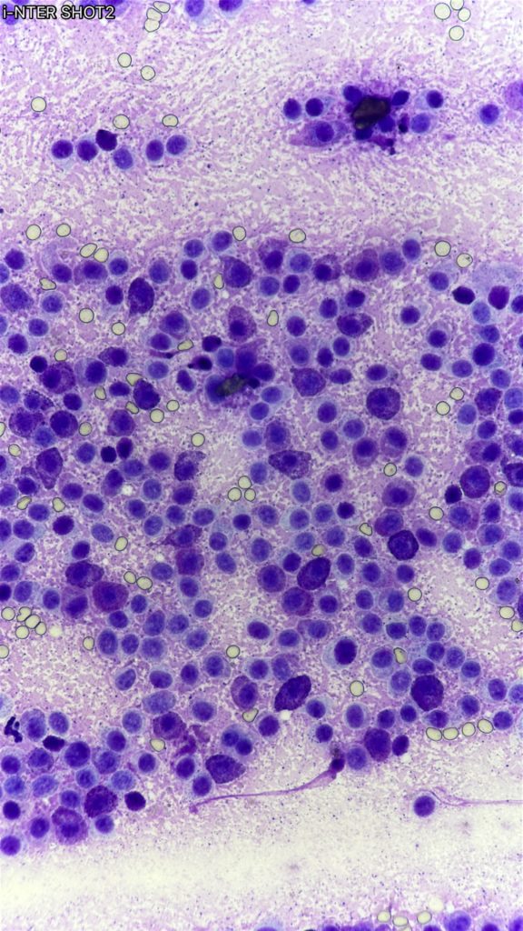
麻酔をかけた後にまずは上唇に針吸引検査をおこないました。
するとこのような細胞が出ていました。

細胞の形態からして特徴的だったので、すぐに肥満細胞だと判断しました。
そして麻酔下で再度身体検査をすると、腫瘍のできている側の下顎リンパ節が腫れていたので、そこにも針吸引検査をおこないました。
すると次はこのような細胞が出ていました。

見ておわかりの通り、上唇から出てきた細胞と同じ細胞です。
つまりはリンパ節に転移しているということです。
組織検査、細胞診検査より肥満細胞腫という診断がつきました。
治療に関しては内科治療をメインで進めることになりましたが、頑張って薬を飲ませてもらうことで、ここまで小さくなってます!


